Human growth is often narrated as a clean arc. Childhood stretches into adolescence, adolescence closes with puberty, and adulthood arrives with a skeleton that has settled into its final form. It is a comforting story. It is also wrong.

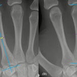
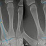
A new longitudinal study1 of adolescents and young adults shows that even after the hormonal storms of puberty have passed, the human skeleton continues to quietly remodel itself. The evidence comes not from dramatic changes in stature or limb length, but from the slow thickening of cortical bone in the metacarpals, the slender bones that form the framework of the hand. These changes extend well into the late teenage years and beyond, challenging assumptions that have shaped biological anthropology, forensic science, and interpretations of the fossil record.










